X线成像和医学图像处理 返回前页
1. 基于深度网络的CT重建方法研究
深度网络对自然图像有比传统的稀疏字典更加强大的表示能力,主要原因是自然图像有丰富的纹理结构,以及可以容易地组织规模宏大的训练数据集,但医学图片,特别是CT图片,主要由大的边缘结构组成,纹理结构不够丰富,同时医学图片数据库也难于组织,因此应用深度网络技术存在一定的困难。目前尽管已经有一些研究论文发表,但基于深度网络表示的CT重建方法仍然没有较好的解决方案。
图像所在 CT重建领域有长期的研究经历和较好的国内外学术研究知名度。我们在这个领域的研究主要集中在提出一个新的网络框架,解决上述的深度网络表示CT图像的能力,以及基于较少CT图像数据集的深度网络训练问题。有兴趣的同学可以联系我们参与该项目的研究工作,以此学习X线成像原理、CT重建方法、机器学习以及GPU编程等方面的相关知识,拓展自己的能力范围,提升解决问题的能力。
2. 适形X线成像和CT重建技术
传统的X线成像模式通过单焦点X线球管发出一个锥束光源照射成像对象来获得成像信息,因此球管必须远离成像对象,由此导致了X线机和CT系统的体积庞大、成本高、精度低、和辐射剂量高等一系列缺点。图像所在国家重点研发计划的支持下,采用基于纳米冷阴极的阵列X线光源,提出研究能够贴近目标成像的适形X线成像和适形CT技术,针对这种新颖的投影几何结构开展成像理论、重建算法、以及实现技术等多方面的研究和开发工作。有兴趣的同学可以联系我们参与该项目的研究工作,以此学习X线成像原理、CT重建方法、GPU编程、接口电路设计、软硬件开发技术等方面的相关知识,拓展自己的能力范围,提升解决问题的能力。

适形X线透视成像技术,紧贴目标表面,体积小,携带容易,剂量低,成本低,适合任意被测目标的形态。
3. 面向特定医疗目标的放射影像组学研究
现代医学影像技术的发展为疾病的治疗提供了大量临床证据,治疗技术也面向个性化治疗的目标发展,结合机器学习和人工智能技术,人们可以从医学图像中提出高通量的定量特征,并且结合基因等其它医学特征进行分析,得到更加精准的治疗方案,因此诞生了近几年才提出的放射影像组学(radiomics)方向,并迅速发展,如今已经成为当前医学影像研究中的热点方向。
图像所在这个研究方向上与国内一些主要教学型医学有良好的合作关系,针对肾癌基因变异预测、肺癌放疗后的转移预测等方面取得了有益的成果,同时也在不断地开拓针对其它疾病的研究工作。有兴趣的同学可以联系我们参与该项目的研究工作,以此学习医学影像处理、诊断和机器学习等方面的相关知识,拓展自己的能力范围,提升解决问题的能力。

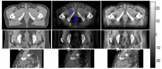
4. 3D字典vs. 2D字典:三维锥束CT重建中谁的效率更高?
基于字典学习和稀疏表示约束的统计迭代重建技术已经被证明能够有效地降低CT投影数据不完备性对重建图像质量的影响,尤其在低剂量CT重建中起到重要作用。对于三维锥束CT重建,一个有趣的问题是:在相同的原子维度的前提下,设计3D字典是否会带来更好的重建效果。该课题将从自然图像统计分析出发,研究2D/3D字典在表示自然图像时的稀疏度和表示效率,并在此基础上设计性能优越的CT重建算法。

相同原子维度(64),2D/3D字典表示效率的自然图像统计分析结果。(a)和(b)分别表示来自两个重建病人的表示系数的统计分布图,可以明显地看出,3D字典比2D字典在表示人体图像时具有更好的稀疏度,因而具有更好的表示效率。我们进一步的CT重建结果也表明,用3D字典约束可以获得更好的重建图像质量。
5. CT统一重建框架研究
在常规X射线CT成像中,除了重建计算以外,还需要对CT数据采集中因各种物理因素导致的退化因素进行校正,这里的主要退化因素包括量子噪声、射束硬化、金属伪影、以及散射。在现有的CT设备中,各种退化因素被分别抑制,并且与重建计算无关。图像所正采用一种统一重建框架来同时解决各种退化因素校正和图像重建问题,对噪声的统计特性和成像物理过程进行数学建模,采用机器学习技术获取自然图像的统计先验信息并融入重建和伪影校正过程中,从而完成统一重建框架的构建工作。参与该课题的同学将学习CT重建、X线成像物理、以及自然图像统计等方面的数学和物理知识,掌握必要的机器学习工具,参与该项目的部分理论和实验工作。

统一重建框架重建结果图
6. 深度学习在动态锥束CT投影域提取呼吸信号方法的应用
动态锥束CT技术的核心思想是将CT采集到的投影数据根据呼吸信号进行相位分配并分相位重建,达到消除运动伪影的目的。其中呼吸信号提取的准确性将很大程度上影响最终重建图像的质量。研究发现,针对人体胸腔的动态锥束CT技术中的投影数据,富含了表征胸腔在CT照射过程中难以避免的呼吸运动特征。因此,本课题的研究目标将传统数字图像处理算法和深度学习方法在图像特征提取上的优势相结合,利用卷积神经网络(CNN)从投影数据中挖掘提取运动特征,从而分析获得一种精确的呼吸信号提取算法。参与该项目研究的同学将学习如何利用机器学习等技术,从序列图像中提取某些物理参量的表示方法。

利用卷积神经网络对动态锥束CT重建框架下的呼吸运动信号进行提取
7. 计算机辅助诊断与深度学习
CT成像方式是临床影像诊断的重要手段,计算机辅助诊断系统能够预先标记出病灶位置、病灶类型等基本信息,从而有效缩短放射科医生的阅片时间,提高阅片的准确率。而针对人体肺部等纹理丰富区域进行病灶检测是一个具有挑战性的课题,传统的图像分类方法容易导致误诊和漏诊现象。近年来,深度卷积网络在自然图像分类与检测等领域取得了巨大成功,而医学图像与自然图像统计特征不尽相同。因此,本课题拟将深度学习方法应用到肺部病灶检测领域,对深度网络特征进行深入分析,从而提高肺部病灶检测的准确率,促进计算机辅助诊断系统在肺部疾病诊断中的应用。

交大一附院医生标记的肺部病灶示例


