Adv Sci丨西安交通大学范晋海/林敏/空军军医大学王磊合作合成十一碳精氨酸肽用于膀胱癌的靶向递送
- 发布时间:
- 2024-09-19
- 文章标题:
- Adv Sci丨西安交通大学范晋海/林敏/空军军医大学王磊合作合成十一碳精氨酸肽用于膀胱癌的靶向递送
- 内容:
肽类药物在癌症治疗方面具有巨大潜力,其有效性由肽如何靶向癌细胞并在内吞后逃脱潜在的溶酶体包封的机制驱动。然而,这些机制仍然难以捉摸,这阻碍了肽类药物的设计。
2024年9月11日,西安交通大学范晋海、林敏、空军军医大学王磊共同通讯在Advanced Science 在线发表题为“Enhanced Tumor-Targeted Delivery of Arginine-Rich Peptides via a Positive Feedback Loop Orchestrated by Piezo1/integrin β1 Signaling Axis”的研究论文。该研究合成了十一碳精氨酸肽(R11)用于膀胱癌(BC)的靶向递送,研究了靶向效率并阐明了肽类递送的机制,旨在改进肽类疗法的设计和功效。
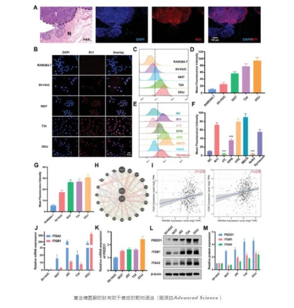
结果表明,过度激活的Piezo1/整合素β1(ITGB1)信号轴显著促进了R11肽通过巨胞饮作用向肿瘤靶向递送。此外,R11肽与整合素β1形成氢键,促进了靶向和渗透到肿瘤细胞中。此外,R11肽保护整合素β1免于溶酶体降解,促进其从细胞质循环到膜。此外,这一发现建立了一个正反馈回路,其中R11肽通过增加膜融合激活Piezo1,促进Ca2+释放,导致原位模型和临床组织中整合素β1介导的内吞作用增强,证明了有效的肿瘤靶向递送。最终,Piezo1/整合素β1信号轴促进细胞对肽的吸收和运输,建立了一个正反馈回路,促进机械递送到癌症,并为癌症治疗中的药物修饰提供了可能性。

在过去的几十年中,药物输送领域通过采用基于肽的载体将治疗剂输送到肿瘤部位取得了重大进展。尽管取得了这些进展,但在实现最佳效果方面仍然存在挑战,例如在血液循环中滞留、在细胞外基质中穿越密集屏障、避免脱靶效应以及防止内吞过程中溶酶体包封。研究人员不断探索通过开发新肽来改善肿瘤输送的新方法。尽管做出了这些努力,但在革命性地改变基于肽的癌症治疗药物输送方面仍然存在相当大的差距。
虽然像TAT这样的肽有助于将生物大分子转移到细胞中,但它们缺乏靶向细胞中特定受体的能力,如整合素家族。整合素对细胞基质相互作用至关重要,已成为癌症治疗的靶向对象,RGD肽是靶向整合素结合的一个显著例子。然而,整合素的潜在构象转变、不良的物理化学性质以及两性离子或两性设计引起的不良反应等挑战阻碍了以整合素为靶点的RGD药物设计的成功。这些限制使得作者有必要探索替代的整合素靶向策略。作者之前合成了十一碳-精氨酸肽(R11)结合物,该结合物携带各种有效载荷,用于膀胱癌(BC)中的肿瘤靶向递送,该结合物由11个精氨酸组成,在癌症中表现出增强的摄取效率和溶酶体逃逸。虽然前景光明,但由于R11肽如何与整合素相互作用以及随后的内吞机制尚不明确,进一步阻碍了具有增强细胞摄取的R11基药物的开发。

富含精氨酸的肽有助于癌症的靶向递送(图源自Advanced Science )
有效的细胞摄取还需要内吞载体来运输肽。据报道,这种增强与Ca2+信号有关,该信号通过操纵膜曲率在内吞过程中诱导囊泡融合。富含精氨酸的肽可以诱导质膜变形,例如突起、分叉和多层性。这种膜变形可能引发Ca2+信号,源自机械激活的离子通道Piezo1。此外,整合素β1(ITGB1)可以上调piezo1功能,从而促进细胞内吞。然而,肽与Piezo1/ITGB1调节的囊泡融合过程之间的具体相关性需要系统研究。
作者的研究表明Piezo1/ITGB1信号轴参与了R11肽的肿瘤靶向递送。然而,具体的靶向和运输过程仍不清楚。本研究旨在合成R11肽并探索其靶向能力和由Piezo1/ITGB1信号轴介导的摄取机制。此外,还将研究整合素回收的机制和过程。了解肽递送的生物学过程和机制将为解决整合素靶向挑战提供新的见解,并有助于开发有效的癌症疗法。
参考消息:
https://onlinelibrary.wiley.com/doi/10.1002/advs.202409081




